Santa Catarina
EMERGENCIAS: 911
PROTECCIÓN CIVIL: 81 8676.18.66
SEGURIDAD PÚBLICA: 81 8676.18.66
CIAC: 81 8676.17.17 / 81 8676.17.00

El gusano parásito que se esconde silenciosamente en tu piel fue uno de los descubrimientos más aterradores del año

Dicen que la realidad es más extraña que la ficción y, con Halloween a la vuelta de la esquina, ¿qué mejor momento para explorar el lado más espeluznante de la ciencia? No necesitas efectos especiales, maquillaje y máscaras aterradoras para sentir un escalofrío por la espalda, porque todo lo que necesitas hacer es sumergirte en aguas tropicales para encontrarte con una amenaza invisible. Criaturas microscópicas nadando en agua dulce, esperando encontrar un huésped humano al que invadir con el arma secreta que traen consigo: la capacidad de penetrar la piel sin dejar rastro, sin causar dolor, sin que la víctima pueda notar nada. Suena como la trama de una película de terror, pero en cambio es la realidad diaria de millones de personas que viven con uno de los parásitos más insidiosos de la naturaleza.

Invasión silenciosa

Como un fantasma que atraviesa una pared, el gusano parásito esquistosoma mansoni puede atravesar la piel humana sin activar señales de alarma en el cuerpo. Un estudio publicado el pasado mes de agosto en el Journal of Immunology revela cómo el gusano puede conseguirlo suprimiendo las neuronas que transmiten información, y evitando tanto el dolor como el picor al penetrar en la piel.

Por lo general, infesta a los humanos que se sumergen en aguas infectadas (incluso simplemente sumergir los dedos de los pies en un lago puede causar una infección), luego los gusanos adultos y las larvas migran a través del torrente sanguíneo del huésped para debilitar su sistema inmunológico.

Una amenaza global

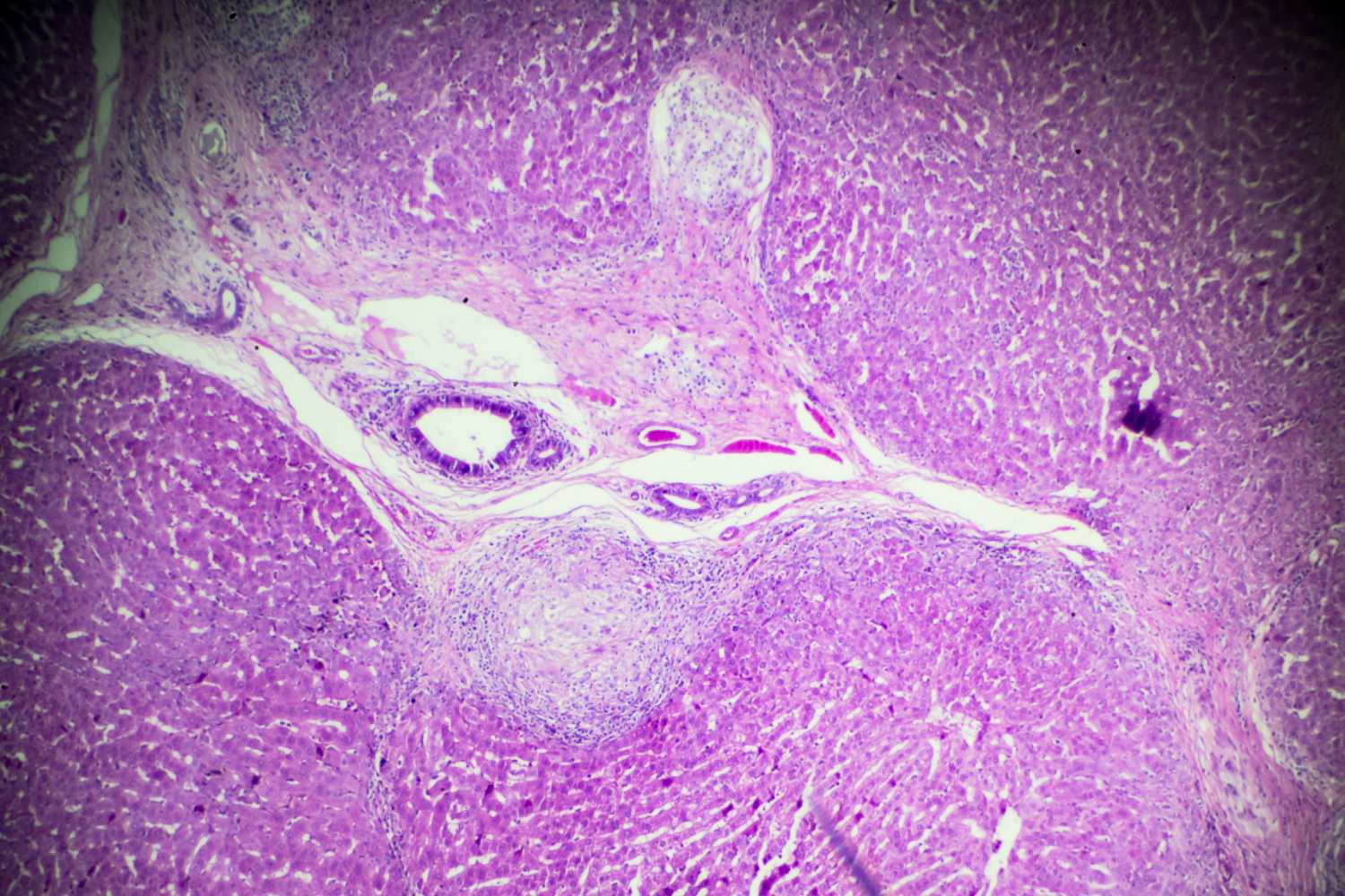
Schistosoma mansoni pertenece a la familia de los trematodos y representa una de las principales causas de la esquistosomiasis, una enfermedad parasitaria que afecta aproximadamente a 240 millones de personas en todo el mundo y a más de 700 millones que viven en zonas endémicas, concentradas principalmente en África subsahariana, Oriente Medio y América del Sur. La Organización Mundial de la Salud la clasifica como la segunda enfermedad parasitaria más extendida después de la malaria, responsable de más de 10.000 muertes al año.

esquistosomiasis 2

El ciclo de vida del parásito es complejo. Los huevos son expulsados ​​con las heces humanas y, si llegan a agua dulce, eclosionan liberando las larvas que infectan a especies específicas de caracoles de agua. En el interior de estos moluscos, los parásitos se multiplican y se transforman en cercarias, formas larvarias dotadas de una cola bifurcada que les permite nadar.

La técnica de la infiltración

Cuando una persona entra en contacto con agua contaminada, las cercarias se adhieren a la piel en cuestión de minutos y luego liberan enzimas que disuelven la capa externa de la epidermis y penetran activamente en la dermis. El proceso dura unos quince minutos y se produce en total silencio biológico.

Como se mencionó, las investigaciones han demostrado cómo el parásito es capaz de secretar moléculas capaces de bloquear los receptores del dolor y la picazón, una estrategia evolutiva que permite al gusano completar la invasión antes de que el sistema inmunológico pueda organizar una respuesta efectiva. Una vez dentro, el parásito pierde la cola y migra por los vasos sanguíneos hasta llegar a los pulmones, luego al hígado y finalmente a las venas intestinales, donde madura y se reproduce.

Síntomas de la enfermedad.

En las primeras horas después de la infección, algunas personas desarrollan una dermatitis llamada “picazón del nadador”, con pequeñas manchas rojas en la piel. Después de cuatro a seis semanas, cuando los gusanos comienzan a poner huevos, aparecen síntomas más graves: fiebre, dolores musculares, tos y diarrea con sangre. Los huevos que quedan atrapados en los tejidos provocan inflamación crónica.

Con el paso de los años, la esquistosomiasis puede provocar daños permanentes en el hígado, los intestinos, la vejiga y otros órganos, mientras que en los niños la infección crónica perjudica el crecimiento y el desarrollo cognitivo. La enfermedad puede tratarse con praziquantel, un fármaco antiparasitario barato y eficaz, aunque los casos de reinfección son muy frecuentes en zonas endémicas.

Una esperanza contra el dolor

También podría haber un lado positivo, ya que los científicos creen que las moléculas que utilizan los gusanos para bloquear las señales neuronales podrían inspirar nuevas técnicas para aliviar el dolor y representar alternativas a los medicamentos opioides.

La crisis de los opioides ha impulsado la investigación sobre analgésicos más seguros, y los mecanismos que Schistosoma mansoni ha perfeccionado a lo largo de millones de años de evolución podrían ofrecer un modelo natural para silenciar el dolor sin los devastadores efectos secundarios de la adicción.